噛み合わせ治療の症例24
スプリント使用後、
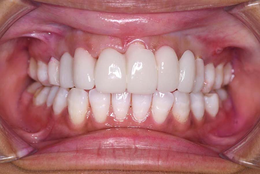
補綴治療をした症例
基本情報
| 主訴 | 噛み合わせが悪い |
|---|---|
| 期間 | 約2年2ヶ月 |
| 費用 | 準備中 |
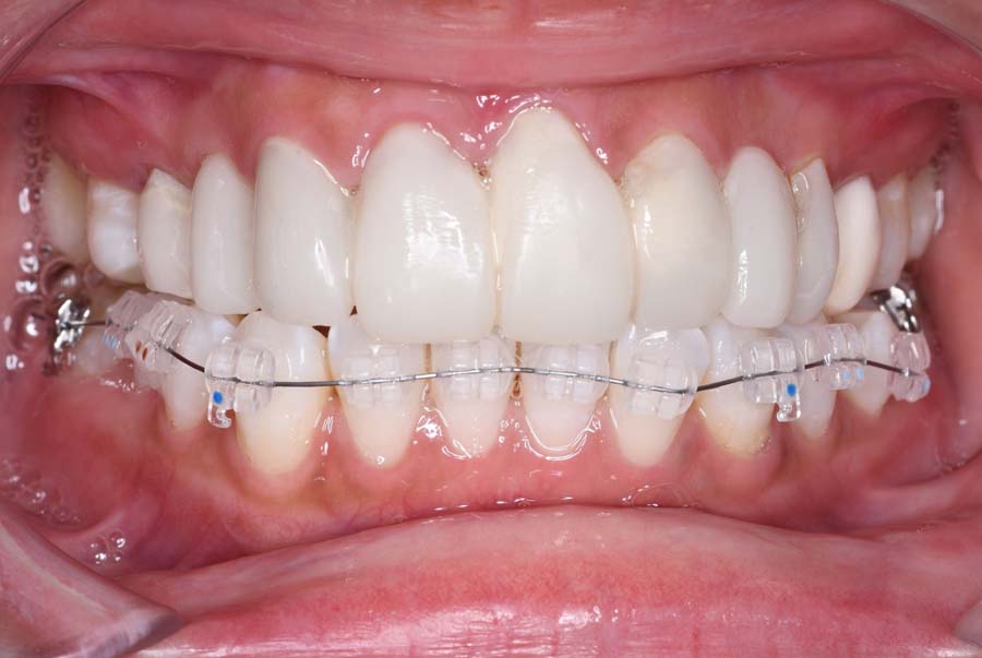
| 治療内容 | ①スプリントを装着 ②副子を装着 ③2024年4月 口腔内反映開始 ④副子を入れた状態の所まで咬合を挙上 (バイトアップ) ⑤2024年5月 上顎前歯部8本へ仮歯(TEK) を装着 |
| 治療へのリスク | マウスピースや矯正、補綴の期間や方法、本数は症状やケースによって異なります。 |
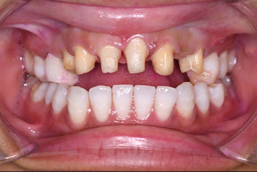
初診日 2023年10月12日



姿勢
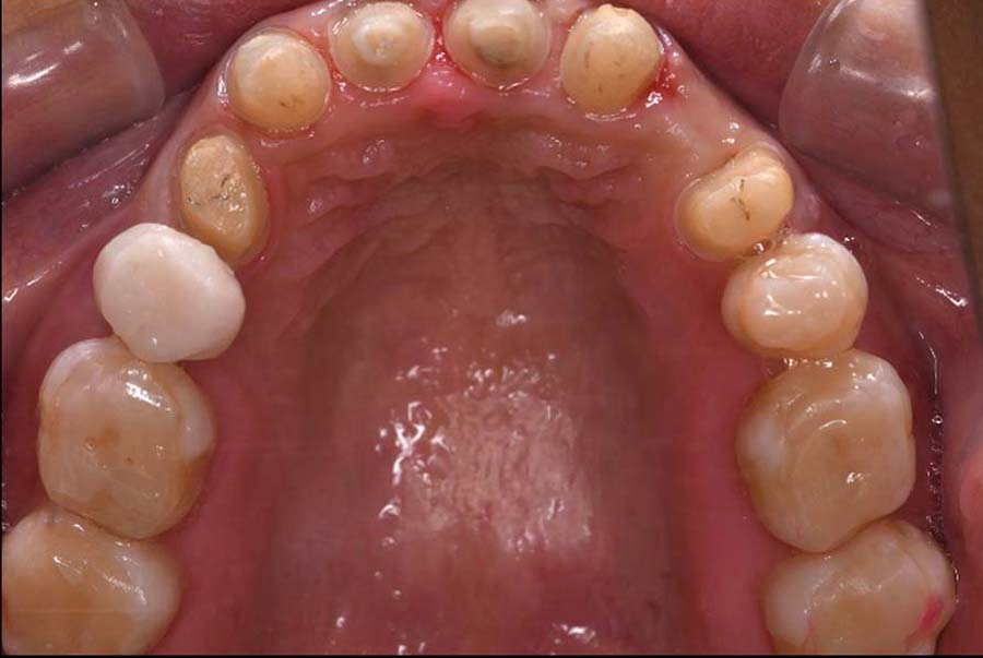
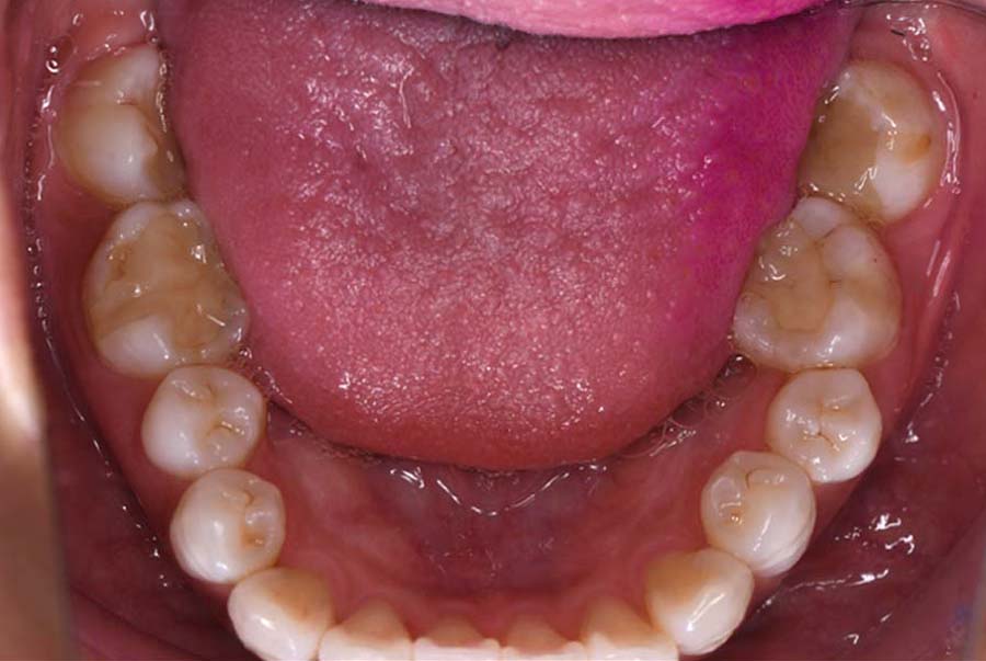
| 副子なし | 副子あり |
![]() |
![]() |
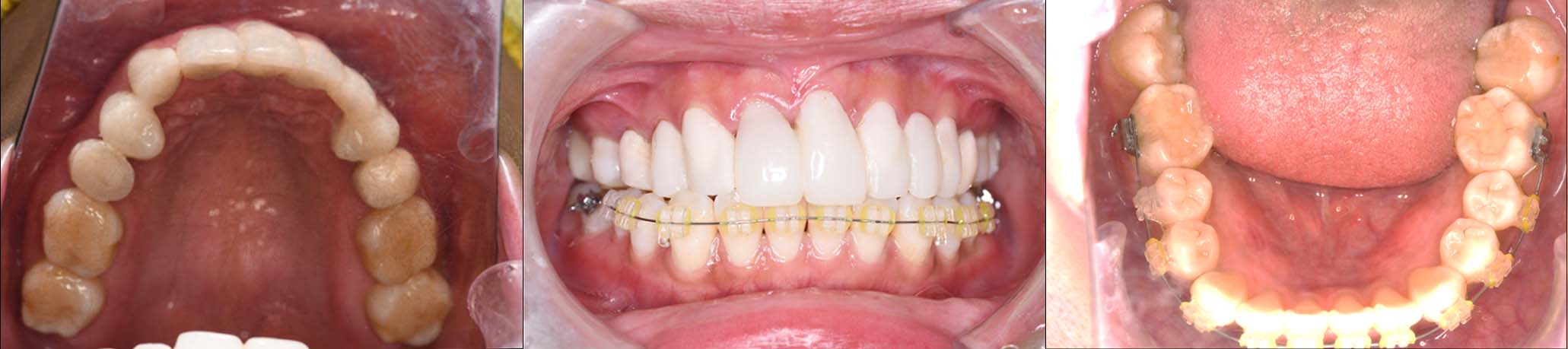
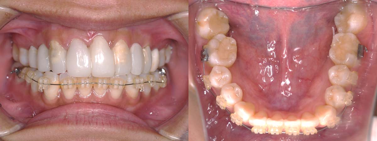
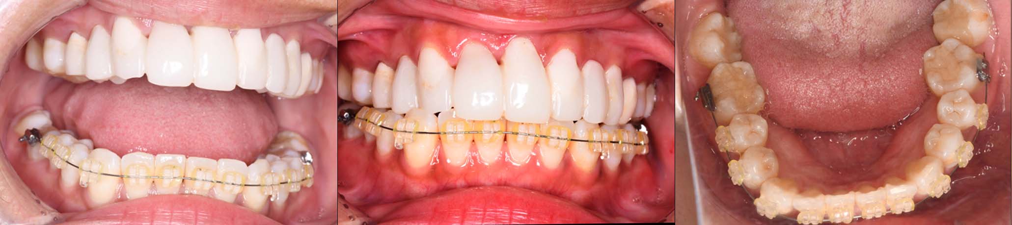
バイトアップ後
![]() |
![]() |
![]() |
![]() |
![]() |
![]() |
![]() |
![]() |
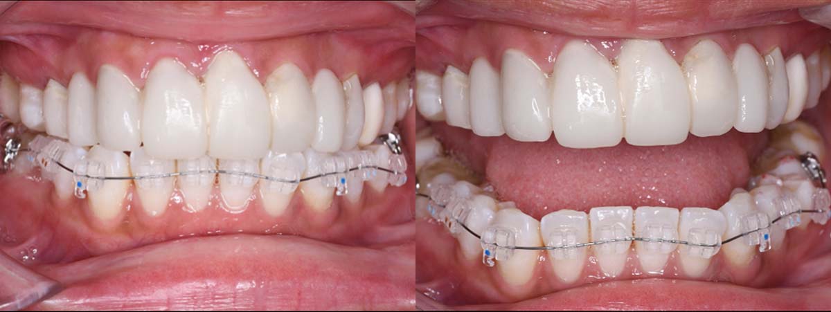
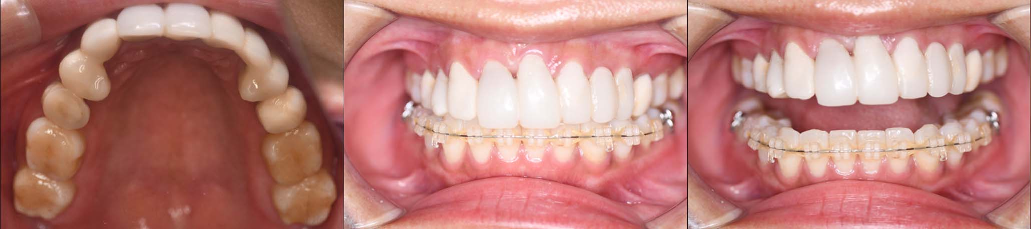
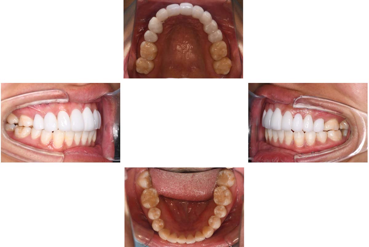
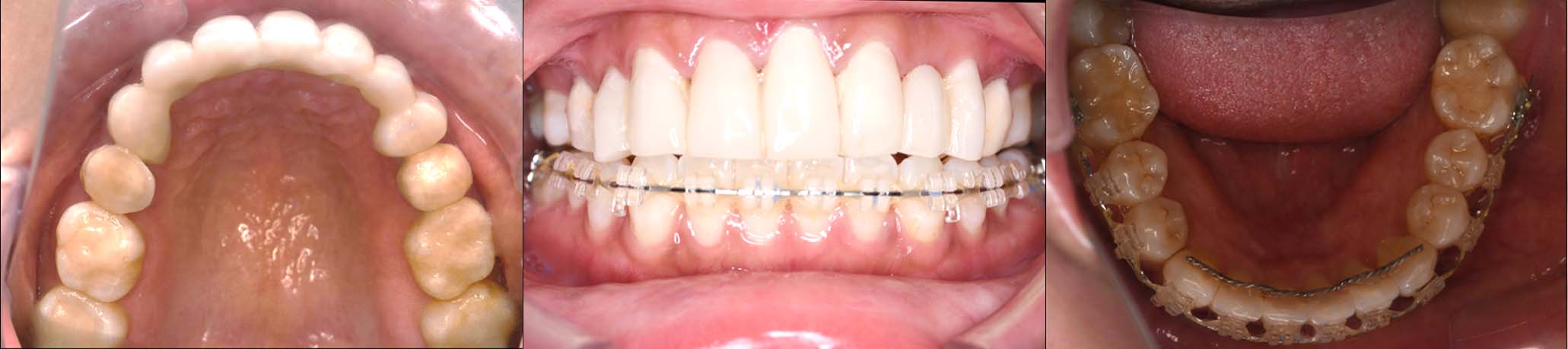
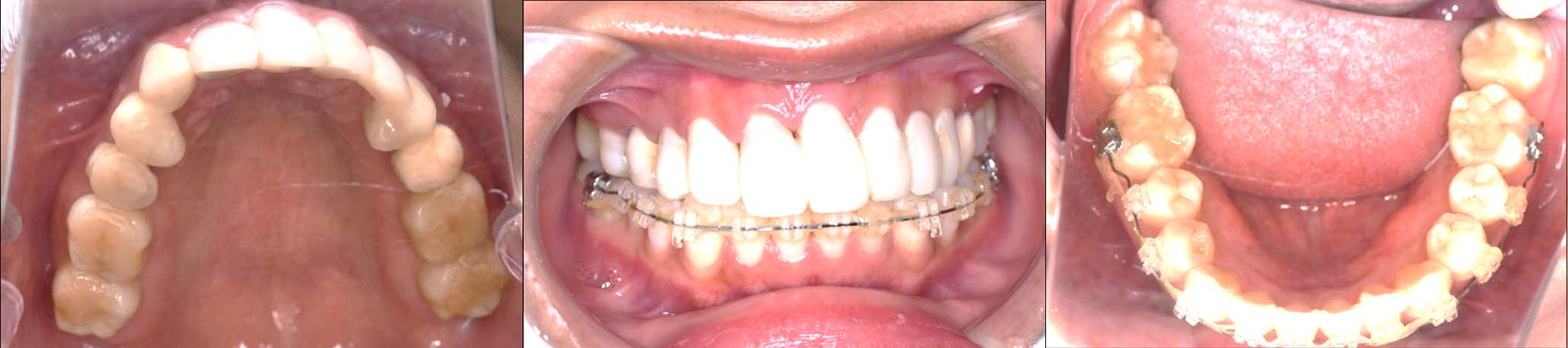
2024年 10月 下顎MTM開始
2024年 10月10日
10月21日
11月7日
11月28日
12月16日
12月23日
1月9日
1月30日
2月20日
3月13日
4月24日
9月25日
ヒアルロン酸注入
![]() |
![]() |
リップアート(SWEET MELISSA)
| 1回目術前 | 1回目定着 |
|---|---|
![]() |
![]() |
2025年 12月25日
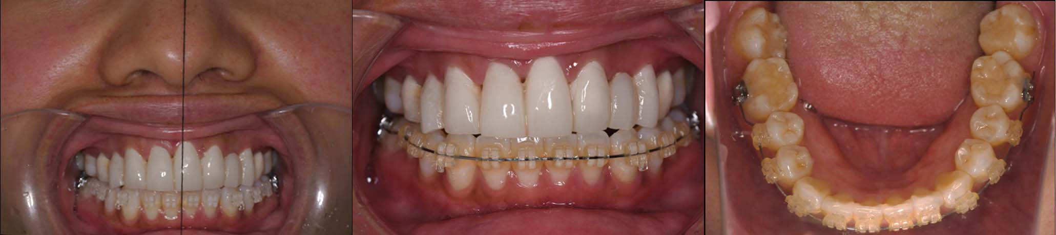
姿勢の変化
2024年 3月 初診時
2024年 10月10日
2025年 12月25日
顔貌の変化
2024年 3月 初診時
2024年 10月10日
2025年 12月25日

















